Understanding Your Body’s Response to Breast Implants
Capsular contracture symptoms are signs that the natural scar tissue around your breast implant has tightened or hardened, potentially causing discomfort and changes in breast appearance. If you’re experiencing unusual firmness, pain, or shape changes in your breasts after augmentation, you may be dealing with this common implant complication.
Key symptoms to watch for include:
- Firmness or hardness in one or both breasts that feels different from immediately after surgery
- Breast shape changes – appearing more round, ball-like, or sitting higher on the chest
- Visible distortion or asymmetry between breasts
- Pain, tenderness, or discomfort, especially when lying on your breasts
- Rippling or wrinkling visible on the breast surface
- Reduced implant mobility or feeling like the implant is “stuck”
When you receive breast implants, your body does something completely natural – it forms a protective capsule of scar tissue around the foreign object. This is part of your immune system’s normal healing response. In most cases, this capsule remains thin and soft, and you’ll never notice it’s there.
But sometimes, this capsule can tighten and harden around the implant. This is capsular contracture. Research shows that about 10% of breast implant patients experience some degree of this complication, with 75% of cases occurring within the first two years after surgery. However, it can develop at any time – even years later.
The good news? Capsular contracture is treatable, and recognizing the symptoms early gives you more options for addressing it. Understanding what to look for helps you know when it’s time to consult with your plastic surgeon.
Decoding the Telltale Capsular Contracture Symptoms
Recognizing capsular contracture symptoms is the first step toward finding a solution. Because every body reacts differently, the signs can vary. Sometimes, they might not be immediately obvious, especially in milder cases. To help us understand the severity and guide treatment, we often refer to the Baker classification system, which categorizes capsular contracture into four grades.
While 75% of all capsular contractures will occur within two years of the implant placement, it’s crucial to remember that symptoms can appear anytime, even years later. One of the baffling aspects of capsular contracture is that it often affects only one breast, even if both implants were placed at the same time and are identical. This can lead to noticeable asymmetry, where one breast feels or looks different from the other.
Here’s what you need to know about capsular contracture, including how it’s graded and what signs to look for: What to know about capsular contracture.
Let’s explore the Baker Grades in more detail:
| Baker Grade | Feel | Appearance | Pain Level |
|---|---|---|---|
| Grade I | Soft | Normal, natural | No pain |
| Grade II | Slightly firm | Normal, natural, but implant palpable | Little to no pain |
| Grade III | Firm to hard | Distorted, misshapen, unnatural round | Some pain, discomfort |
| Grade IV | Very hard, rigid | Severely distorted, painful, abnormal | Significant pain, tenderness, soreness |
Early Capsular Contracture Symptoms (Grades I-II)
In the early stages, capsular contracture symptoms might be subtle, making them easy to overlook. We understand that after breast augmentation, there’s a period of healing and adjustment, and it can be hard to differentiate between normal post-surgical changes and the onset of a complication.
-
Grade I: Asymptomatic and Natural
- If you have Grade I capsular contracture, congratulations! Your breast will feel soft, natural, and comfortable. There’s no pain, and visually, your breast appears perfectly normal. In fact, many women with Grade I contracture may never even know they have it because it causes no issues. It simply means the capsule around your implant is doing its job without causing any problems. This is the ideal outcome after breast augmentation, whether you chose silicone or saline implants. More info about Breast Augmentation with Silicone.
-
Grade II: Minor Firmness, Still Looks Natural
- With Grade II, you might start to notice a slight difference in the feel of your breast. It will feel firmer than a Grade I breast, and you might be able to easily feel the implant beneath the skin. However, despite this minor firmness, the breast still maintains a natural appearance. There’s usually little to no pain associated with Grade II contracture, though some women report a subtle feeling of tightness. It’s often more of a tactile change than a visual one at this stage.
It’s important to be attuned to your body and perform regular self-exams. Catching these subtle changes early can make a difference in treatment options down the line.
Advanced Capsular Contracture Symptoms (Grades III-IV)
When capsular contracture progresses to higher grades, the capsular contracture symptoms become much more pronounced and can significantly impact both the aesthetics and comfort of your breasts.
-
Grade III: Obvious Firmness and Visible Distortion
- At Grade III, the firmness in your breast is more than just noticeable; it’s often obvious to the touch and can sometimes be seen visually. The breast may start to look distorted, taking on an unnatural, overly round, or “ball-like” shape. You might observe that the implant is displaced, perhaps pushing upwards on the chest. This change in shape can lead to an unnatural or “stuck-on” appearance. While not always painful, Grade III contracture can cause discomfort, a constant feeling of tightness, or even tenderness. This is typically when patients become quite concerned and seek medical attention.
-
Grade IV: Hard, Painful, and Severely Distorted
- Grade IV is the most severe form of capsular contracture. The breast becomes very hard, rigid, and often painful. This isn’t just discomfort; it can be a persistent, aching pain, and the breast will be tender to the touch. Visually, the distortion is significant. The breast will appear severely misshapen, potentially flattened or constricted, and its movement may be restricted. Imagine trying to move a very hard, fixed object—that’s how a Grade IV breast can feel and look. The long-term effects of untreated capsular contracture, especially at Grade IV, can include chronic pain, psychological distress due to altered appearance, and continued worsening of the breast’s shape and feel. It’s a condition that demands attention for both physical and emotional well-being.
Why Does It Happen? Causes and Risk Factors
Understanding the causes and risk factors behind capsular contracture symptoms is key to both prevention and effective treatment. While the body’s natural response to forming a scar tissue capsule around an implant is normal, several factors can trigger this capsule to thicken and tighten.
One prominent theory points to the role of biofilm. A biofilm is a thin, slimy layer of bacteria that can form on the surface of an implant. Even a low-grade bacterial contamination during surgery, possibly from common skin bacteria like staph, can lead to a chronic, low-level infection. This persistent irritation can then stimulate the body to produce excessive scar tissue, leading to capsular contracture.
Other contributing factors include:
- Hematoma or Seroma: An accumulation of blood (hematoma) or fluid (seroma) around the implant site after surgery can increase the risk. These collections can irritate the tissues, promoting a more aggressive scarring response.
- Implant Rupture: While not a direct cause of the initial capsule formation, an implant rupture can lead to increased inflammation and irritation, which may exacerbate or trigger capsular contracture.
- Radiation Therapy: For patients who undergo breast reconstruction with implants and then receive radiation therapy, the risk of capsular contracture is significantly higher. Radiation can damage healthy tissues, making them more prone to excessive scarring and hardening around the implant.
- Genetic Predisposition: Just as some individuals are more prone to developing keloids or hypertrophic scars after skin injuries, some may have a genetic predisposition to forming thicker, more reactive scar tissue around implants.
- Implant Placement: Where the implant is placed can also influence the risk.
- Over the muscle (subglandular) placement has a higher lifetime risk of capsular contracture (12-18%).
- Partial under the muscle placement reduces this risk to 8-12%.
- Completely under the muscle (submuscular) placement is associated with the lowest lifetime risk, at just 4-8%. This is often because the muscle provides a protective barrier and more movement, which can help keep the capsule soft.
Overall, about 10% of breast implant patients experience capsular contracture, highlighting its prevalence. For those considering breast reconstruction, understanding these factors is crucial. More info about Breast Reconstruction.
Can Capsular Contracture Be Prevented?
While we can’t guarantee 100% prevention of capsular contracture, we can take significant steps to minimize the risk of developing those unwelcome capsular contracture symptoms. Our approach at Marc Malek MD focuses on meticulous technique and patient education right here in Scottsdale, Phoenix, and across Arizona.
Key preventative strategies include:
-
Meticulous Surgical Technique:
- Sterility: We perform surgery in accredited surgical centers that meet or exceed hospital standards for safety and sterility. Meticulous attention to sterility during surgery is crucial to minimize bacterial contamination, which can lead to biofilm formation.
- Minimal Implant Handling: Specialized tools, like the Keller Funnel, can be used to insert implants without direct hand contact, significantly reducing the introduction of bacteria. Some studies have shown an 87% reduction in contracture rates with this method.
- Antibiotic Irrigation: Bathing the implant pocket with antibiotic solutions during surgery can further limit bacterial introduction and reduce the risk of infection.
-
Implant Choice and Placement:
- Under the Muscle Placement: As discussed, placing implants completely under the chest muscle (submuscular) significantly lowers the risk of capsular contracture compared to over the muscle placement. This provides more tissue coverage and may help prevent the capsule from tightening.
- Textured Implants: While the debate continues, some research suggests that textured implants might have a lower risk of capsular contracture compared to smooth implants, though this benefit needs to be weighed against other potential risks associated with textured implants.
- Correct Implant Size: Choosing the appropriate implant size for your natural breast tissue and frame helps prevent excessive tension and pressure, which can contribute to contracture.
-
Post-Operative Care:
- Following Recovery Instructions: Adhering strictly to all post-operative instructions, including activity restrictions and wound care, is paramount. Diligent care helps ensure proper healing and reduces complications like hematoma or seroma.
- Post-Operative Massage: While some research indicates that massage hasn’t been consistently proven effective in preventing capsular contracture, many plastic surgeons still recommend daily breast massage for the lifetime of the implants. The idea is that gentle manipulation can help keep the capsule soft and pliable. We will discuss the specific recommendations for your recovery during your consultation.
We believe in empowering our patients with knowledge about their breast augmentation options, including the best ways to minimize risks. More info about Breast Augmentation Options.
Diagnosis and Treatment: Restoring Comfort and Shape
When you notice concerning capsular contracture symptoms, the next crucial step is an accurate diagnosis. We combine a thorough physical examination with advanced imaging techniques to assess the condition of your implants and the surrounding capsule.
During your visit to our Scottsdale office, Dr. Malek will perform a comprehensive physical examination. This involves evaluating the feel of your breasts, checking for firmness, tenderness, and any visible changes in shape, position, or symmetry. We’ll use the Baker classification system to grade the severity of any contracture.
To get a clearer picture of what’s happening internally, we may recommend imaging tests:
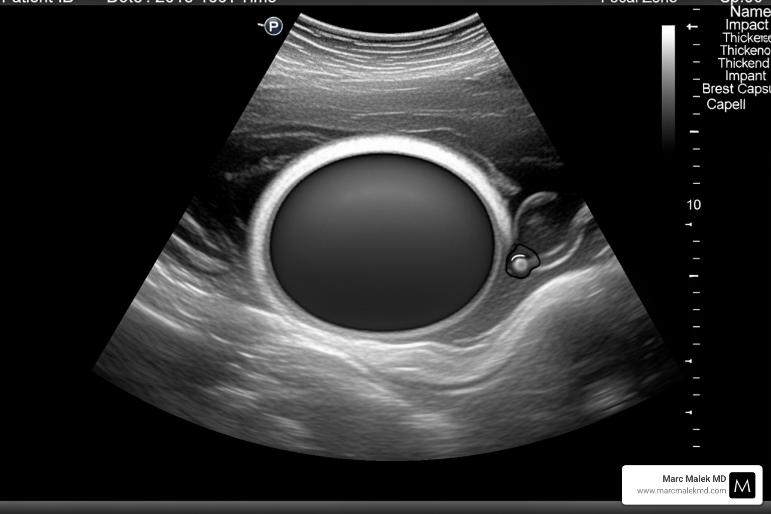
- Ultrasound: This non-invasive imaging technique can visualize the implant and the surrounding capsule. It helps us assess the thickness of the capsule and check for any irregularities or fluid collections. An ultrasound grading system, like the one proposed by Zuniga et al., can objectively measure capsule thickness and identify abnormal wrinkles or deformities.
- MRI: Magnetic Resonance Imaging (MRI) is particularly useful if there’s any suspicion of implant rupture, especially with silicone implants, which can sometimes rupture “silently” without immediate noticeable symptoms. An MRI can provide detailed images of the implant and detect even subtle ruptures.
When to seek medical attention: If you experience any unexpected changes to your breast shape, texture, or symmetry, or if you notice increasing firmness, pain, or discomfort, it’s always best to consult with a specialist. Early diagnosis of capsular contracture symptoms is key to exploring the most effective and least invasive treatment options.
Non-Surgical and Surgical Treatment Options
Once capsular contracture symptoms are diagnosed, we can discuss a range of treatment options custom to your specific situation and the severity of the condition. Our goal is always to restore comfort, a natural appearance, and your peace of mind.
Here’s an overview of the approaches we consider:
-
Non-Surgical Treatments:
- Massage: For very mild cases (Grade I or early Grade II), continuous, vigorous massage may sometimes help to soften the capsule and prevent further tightening. However, its success varies, and it hasn’t been consistently proven to effectively treat established contracture.
- Medication: Some patients and practitioners have explored oral medications like Vitamin E or anti-inflammatory drugs to potentially soften the scar tissue. The effectiveness of these is also variable and should always be discussed with us before starting.
- Ultrasound Therapy (e.g., Aspen Therapy): This specialized therapy uses precisely controlled ultrasound waves to encourage healthy collagen growth and increase elasticity within the breast capsule. Often combined with antibiotics to address potential biofilm, Aspen therapy can be a pain-free, non-invasive option for reversing capsular contracture in suitable candidates, particularly Grade II or III.
-
Surgical Treatments:
- Capsulotomy: This procedure involves making incisions in the tightened scar tissue capsule to release the pressure on the implant, giving it more room.
- Capsulectomy: This involves the removal of part or all of the scar tissue capsule.
- Implant Replacement: Often, during a capsulotomy or capsulectomy, the existing implant is removed and replaced with a new one. This might also involve changing the implant type, size, or placement (e.g., moving from over the muscle to under the muscle) to reduce future risk.
- Flap Reconstruction Surgery: In some cases, especially severe or recurrent contractures, we may recommend removing the implant entirely and reconstructing the breast using your own tissue from another part of your body (e.g., abdomen or buttocks). This option eliminates the risk of future capsular contracture because there’s no implant for the body to form a capsule around.
For comprehensive information on breast revision surgery and other options, please visit: More info about Breast Revision.
Capsulotomy vs. Capsulectomy: What’s the Difference?
When surgical intervention is needed for capsular contracture symptoms, two primary procedures come into play: capsulotomy and capsulectomy. While both aim to alleviate the problem, they differ significantly in their approach.
-
Capsulotomy: Releasing the Pressure
- During a capsulotomy, your plastic surgeon makes strategic incisions or cuts into the tightened scar tissue capsule surrounding the implant. Think of it like scoring a tight elastic band to loosen it. The goal is to release the pressure on the implant, allowing it to move more freely and potentially soften the breast. In some cases, a portion of the capsule might also be removed. An open capsulotomy is when this is done directly through an incision. This method is generally less invasive than a capsulectomy.
-
Capsulectomy: Removing the Problem
- A capsulectomy involves the actual removal of the scar tissue capsule. This can be either a partial capsulectomy, where only a portion of the capsule is removed, or a total capsulectomy (or complete capsulectomy), where the entire capsule is carefully dissected and removed. In certain situations, an en bloc capsulectomy is performed, meaning the implant and the entire surrounding capsule are removed as a single unit, often recommended if there’s an implant rupture or concern about other implant-related issues.
- During a capsulectomy, especially a total one, we often replace the implant and may use an Acellular Dermal Matrix (ADM). This is a special tissue spacer made from donated human or animal skin that has had its cells removed. It acts as an internal bra, providing an extra protective layer and structural support around the new implant, which can help reduce the risk of capsular contracture recurrence.
The choice between a capsulotomy and a capsulectomy depends on several factors, including the severity of the contracture, the presence of other implant complications, and your individual anatomy and preferences. We will discuss the best approach for you during your consultation. For a deeper dive into surgical options, you can explore this resource: An overview of surgical options.
Frequently Asked Questions about Capsular Contracture
We understand that dealing with capsular contracture symptoms can raise many questions. Here are some common concerns we address with our patients in Scottsdale, Phoenix, and across Arizona.
Can capsular contracture happen with saline implants?
Yes, absolutely. Capsular contracture can occur with both saline and silicone implants. The type of filler material inside the implant (saline solution or silicone gel) isn’t the primary factor. Instead, it’s the body’s natural reaction to the implant shell itself – the foreign object – that triggers the formation of the scar tissue capsule. So, whether you have saline or silicone implants, the risk of developing capsular contracture symptoms remains. It’s the biological response to the presence of any foreign body. More info about Breast Augmentation with Saline.
Does capsular contracture mean my implant has ruptured?
Not necessarily, but it’s an important distinction to make. Capsular contracture and implant rupture are two separate complications, although they can sometimes coexist. You can have capsular contracture without a ruptured implant, and you can have a ruptured implant without significant capsular contracture.
However, if you experience new or worsening capsular contracture symptoms, especially if it’s late-onset (many years after surgery), it’s crucial to have your implants checked for rupture. A ruptured implant can cause inflammation that may contribute to capsule tightening. For silicone implants, ruptures can be “silent,” meaning you might not feel them, but they can still cause changes in breast feel or shape. An MRI is often recommended in these cases to rule out rupture.
Will I get capsular contracture again after treatment?
This is a very common and understandable concern. Unfortunately, there is a risk of capsular contracture recurring even after treatment. The likelihood of recurrence varies significantly from patient to patient and depends on several factors, including the underlying cause of the initial contracture, the severity, and the type of treatment performed.
For instance, if the initial contracture was linked to a biofilm, and this issue isn’t fully resolved, there might be a higher chance of recurrence. Similarly, if a less aggressive treatment like a capsulotomy was performed for a severe case, recurrence might be more likely than with a complete capsulectomy and implant replacement with additional protective measures like ADM.
The good news is that flap reconstruction surgery, which replaces the implant with your own body tissue, essentially eliminates the risk of capsular contracture recurrence. Since there’s no foreign implant, your body won’t form a scar tissue capsule around it. Regardless of the treatment chosen, careful follow-up with your plastic surgeon is essential to monitor for any early signs of recurrence and address them promptly.
When to See a Specialist for Your Symptoms
We hope this guide has shed some light on capsular contracture symptoms and the complexities surrounding this condition. Your health and peace of mind are our top priorities.
Early diagnosis is key when it comes to capsular contracture. Don’t ignore any changes in your breasts after implant surgery, no matter how subtle they may seem. If you notice persistent firmness, pain, or changes in breast shape or symmetry, it’s a sign that something might be amiss, and it warrants prompt medical attention. Trying to “wait it out” can often lead to a worsening of symptoms and potentially more complex treatment down the line.
A board-certified plastic surgeon, like Dr. Marc Malek, is uniquely qualified to diagnose and treat capsular contracture. Dr. Malek offers plastic surgery in Scottsdale, utilizing a personal and artistic approach to deliver fantastic, long-lasting results. He focuses on patient comfort, convenience, and promoting a healthy lifestyle for proportionally balanced bodies. His expertise in breast surgery means he deeply understands the nuances of implant complications and the most effective strategies for correction.
If you are experiencing capsular contracture symptoms or are unhappy with your breast implants for any reason, it may be time to consider your options. We are here to listen to your concerns, provide a thorough evaluation, and develop a personalized treatment plan that aligns with your goals and well-being.
Don’t let discomfort or aesthetic concerns diminish your confidence. Reach out to us today. We are dedicated to helping our patients in Scottsdale, Phoenix, and throughout Arizona achieve the best possible outcomes.
Meet Dr. Malek and find how his expertise can guide you.
If you’re ready to take the next step toward restoring comfort and shape, we invite you to Schedule a consultation for breast revision surgery.



